
A toxoplasmose é uma infecção causada pelo Toxoplasma gondii, um parasita que vive no intestino de gatos e pode contaminar água, frutas e vegetais, além de carne de porco e cordeiro.
A transmissão em humanos se dá pela ingestão de alimentos (carne e vegetais) ou água contaminada. A infecção aguda pela toxoplasmose é normalmente uma doença leve, com sintomas gripais, tais como mal estar, febre baixa e aumento de linfonodos (gânglios ou caroços).
Após a infecção aguda, os parasitas podem se alojar em vários órgãos humanos, incluindo cérebro, músculos, pulmão, coração e, claro, o olho. No olho, o local primariamente envolvido é a retina e a coroide. É a chamada retinocoroidite, ou seja, inflamação na retina e coróide.
Pacientes imunossuprimidos (transplantados, doenças reumatológicas, AIDS) podem ter formas mais graves tanto no olho quanto no resto do corpo. O parasita fica em estado dormente até que algo o faça despertar. Muitas vezes é falado em queda ou baixa na imunidade, mas na verdade não se sabe a causa da reativação da doença ocular.
E a toxoplasmose congênita?
Caso uma grávida sofre de contaminação durante a gravidez, o parasita pode afetar o feto, causando a toxoplasmose congênita. No olho, a toxoplasmose congênita tende a ser mais grave pois costuma afetar a mácula, parte central da retina e responsável pelo foco da visão, além de ter grande potencial de acometer de forma grave outros órgãos como o cérebro por exemplo.
Por isso que um pré natal bem feito inclui a realização de exames de infecção congênita, incluindo a toxoplasmose. Caso a mãe tenha resultado negativo, é importante evitar carnes e alimentos mal cozidos e, caso haja conversão sorológica (passar de negativo para positivo) durante a gravidez, o obstetra deve realizar o tratamento com antibióticos e o bebê deve ser avaliado pelo oftalmologista após o nascimento.
O que é toxoplasmose ocular?
No olho, os locais primariamente afetados pelo parasita são a retina e a coróide (no nosso site há explicação detalhada da anatomia do olho, clique aqui para ser direcionado!). É a chamada retinocoroidite, ou seja, inflamação na retina e coróide. O acometimento ocular normalmente acontece até anos depois de ocorrida a contaminação inicial do indivíduo, mas de forma mais rara pode inclusive afetar o olho durante a infecção aguda.
Nestas incomuns vezes que acontecem lesões oculares na infecção aguda por toxoplasmose vemos um quadro clínico atípico, com um número maior de focos (retinocoroidite multifocal) da doença e/ou inflamação difusa dos vasos da retina (vasculite retiniana).
Estas formas atípicas também podem afetar indivíduos com baixa imunidade por uso de imunossupressores (transplantados, doentes reumatológicos) ou com AIDS, por exemplo.
Como já dito, na forma mais comum de toxoplasmose ocular, as lesões retinianas aparecem anos após o contágio inicial. Pode acontecer como um episódio único de inflamação focal (retinocoroidite monofocal), ou ainda voltar várias vezes, que chamamos de recidivas ou recorrências. Isso acontece porque o parasita fica em estado dormente no organismo até que algo o faça despertar.
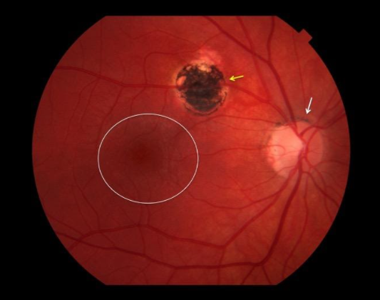
Muitas vezes é falado em queda ou baixa na imunidade, mas na verdade não se sabe a causa da reativação da doença ocular. A lesão ativa clássica tem um aspecto branco bem característico, por isso o diagnóstico não costuma ser difícil quando o exame é realizado por oftalmologista com experiência em inflamações oculares (uveítes) ou retina (Figura 2).

Após o tratamento adequado, forma-se uma cicatriz no local onde havia a inflamação da retina. Dependendo da quantidade de recidivas (e portanto de cicatrizes deixadas por cada recorrência) e do local da retina que foi afetado, a sequela visual pode variar de nenhuma ou leve (Figura 3) à cegueira (figuras 4). Quanto mais próximo das áreas nobres da retina maior a sequela visual.


Quais são os sintomas de toxoplasmose ocular? O que sente uma pessoa com toxoplasmose ocular?
A toxoplasmose ocular pode gerar diferentes sintomas que podem ser muito leves ou imperceptíveis, até uma grande perda da visão.
Os sintomas e sinais mais comuns são:
- olho vermelho
- dor ocular
- fotofobia (grande incômodo com a luminosidade)
- moscas na visão (ou moscas volantes)
- nos casos mais graves há diminuição da visão em diferentes níveis a depender do local da retina que está acometido e da gravidade da inflamação.
Ao sinal de qualquer um desses sintomas, consulte-se com um oftalmologista para checar a sua saúde dos seus olhos! Quanto antes o tratamento é instituído menor o risco de sequela grave!
Como é o diagnóstico? Minha sorologia foi positiva/reagente para toxoplasmose, e agora?!
Normalmente o aspecto da lesão é tão típico para o retinólogo (oftalmologista especialista em retina) ou uveólogo (oftalmologista especialista em uveítes) que o simples exame da retina através da dilatação pupilar (mapeamento de retina) é capaz de definir o diagnóstico.
Caso o médico queira confirmar a infecção pode ser solicitada a sorologia para toxoplasmose, exame de sangue que detecta os anticorpos que produzimos para combater a doença.
Neste exame há um anticorpo chamado IgM, relacionado à infecções recentes, e IgG, relacionado à infecções antigas e passadas, por isso chamada de cicatriz sorológica. Ou seja, quando há a contaminação o IgM fica positivo e o IgG ainda negativo.
Depois de um tempo, que pode ser de algumas semanas ou meses, o IgM fica negativo e o IgG positivo para sempre. Desta forma, o IgG positivo não garante que a doença do olho é toxoplasmose, apenas mostra que aquela pessoa já foi contaminada antes, então a toxoplasmose ocular é uma possibilidade de diagnóstico!
Mas o resultado negativo do IgM e IgG garante que NÃO é toxoplasmose, não sendo uma possibilidade de diagnóstico. Outra dúvida comum é em relação ao número da concentração de anticorpos. Por exemplo, às vezes o laboratório diz que acima de 5 UI/ml é considerado positivo.
A positividade com 10 UI/ml ou 1000 UI/ml não têm diferença clínica, ou seja, uma não é mais positiva que a outra, nem quer dizer que a infecção é mais grave, nem mesmo garante o diagnóstico! Para a avaliação de toxoplasmose ocular não há diferença entre elas.
A tomografia de coerência óptica (OCT) pode ajudar nos casos que envolvem a mácula diretamente pela infecção, ou indiretamente pela inflamação normalmente associada, causando edema, formação de membrana epirretiniana e complicações neovasculares tardias. A ultrassonografia ocular pode contribuir nos casos com inflamação tão intensa que não é possível visualizar a retina no mapeamento de retina.
Como é o tratamento da toxoplasmose ocular?
O tratamento mais utilizado é feito com um antibiótico contendo sulfametoxazol e trimetoprim (Bactrim) durante 6 ou mais semanas. Existem outras alternativas de tratamento para pacientes que não podem usar estas medicações, para grávidas e para casos resistentes que não têm a melhora esperada.
Nos casos mais graves, com inflamação mais forte ou que envolvem áreas mais nobres da retina, também incluímos comprimidos de anti-inflamatório hormonal, ou corticoides. E se a doença afetar a parte anterior do olho também podemos usar colírios de corticóide.
Casos excepcionais podem precisar de procedimentos mais invasivos, como medicamentos intra-oculares, laser ou cirurgia. Pacientes com muitas recidivas podem precisar manter o uso dos antibióticos por vários meses.
Entretanto, o tratamento serve para inativar uma lesão ativa, deixando uma cicatriz no local. Esta cicatriz inviabiliza o funcionamento daquela região da retina, deixando portanto uma sequela irreversível. Por isso, uma cicatriz macular pode levar à cegueira de forma permanente. E também por isso é importante o tratamento precoce, diminuindo o potencial de dano retiniano e o tamanho dessa cicatriz.
E como deve ser o acompanhamento?
A rotina de reavaliação de um paciente que teve toxoplasmose ocular vai variar muito de caso a caso, principalmente levando em consideração complicações associadas como turvação visual, formação de catarata, alterações secundárias da retina, quantidade de recorrências, etc.
Existe prevenção para toxosplasmose ocular?
Como o parasita da toxoplasmose ocular fica no intestino dos gatos, o simples contato com os animais não transmite a doença, mas com as fezes sim. Por isso, é importante a higiene dos bichanos e da caixa de areia, além de evitar alimentá-los com carnes cruas ou mal passadas.
Para as grávidas, é essencial realizar o pré-natal. Nele, o obstetra solicita alguns exames de triagem de doenças infecciosas, incluindo a toxoplasmose. Caso seja diagnosticada alguma doença infecciosa durante a gestação, o tratamento adequado pode evitar o contágio e danos ao bebê!
Outras dicas gerais de prevenção incluem:
- Lavar bem as mãos e unhas após o contato com areia e terra;
- Tomar água sempre filtrada ou mineral;
- Usar água tratada nas tarefas do lar;
- Manter os reservatórios de água bem fechados e limpá-los periodicamente;
- Lavar bem frutas, verduras e legumes;
- Cozinhar bem as carnes antes de comer;
- Não comer ovo cru;
- Não tomar leite que não seja pasteurizado.
Outras perguntas frequentes
Toxoplasmose ocular pode causar cegueira?
Sim! Se a doença afetar alguma área nobre do fundo do olho, principalmente nervo óptico e mácula, o potencial de dano visual grave e irreversível é alto. Quanto antes o tratamento é instituído menor o risco de sequela grave!
Toxoplasmose ocular pode espalhar para o cérebro?
O contágio da toxoplasmose não é ocular, mas sistêmico, de todo o organismo. Desta forma, o agente infeccioso encontra-se também em vários órgãos, incluindo o olho e o cérebro. Portanto, a toxoplasmose não se espalha do olho para o cérebro, mas pode afetar tanto o olho quanto o cérebro.
Toxoplasmose ocular é contagioisa?
Não! A transmissão da toxoplasmose se dá através de água e alimentos contaminados pelo parasita.
Toxoplasmose ocular tem cura?
A toxoplasmose ocular tem tratamento, não cura. Normalmente entendemos que cura significa que a doença deixa de existir para sempre e não deixa sequelas. A toxoplasmose ocular pode voltar (recorrer) e deixar sequelas, mesmo com o tratamento adequado.
Minha sorologia foi positiva/reagente para toxoplasmose, e agora?!
A sorologia é o exame de sangue que detecta os anticorpos que produzimos para combater uma doença. Neste exame há um anticorpo chamado IgM, relacionado à infecções recentes, e IgG, relacionado à infecções antigas e passadas, por isso chamada de cicatriz sorológica.
Ou seja, quando há a contaminação o IgM fica positivo e o IgG ainda negativo. Depois de um tempo, que pode ser de algumas semanas ou meses, o IgM fica negativo e o IgG positivo para sempre. Desta forma, o IgG positivo não garante que a doença do olho é toxoplasmose, apenas mostra que aquela pessoa já foi contaminada antes, então a toxoplasmose ocular é uma possibilidade de diagnóstico!
Mas o resultado negativo do IgM e IgG garante que NÃO é toxoplasmose, não sendo uma possibilidade de diagnóstico. Outra dúvida comum é em relação ao número da concentração de anticorpos.
Por exemplo, às vezes o laboratório diz que acima de 5 UI/ml é considerado positivo. A positividade com 10 UI/ml ou 1000 UI/ml não têm diferença clínica, ou seja, uma não é mais positiva que a outra, nem quer dizer que a infecção é mais grave, nem mesmo garante o diagnóstico! Para a avaliação de toxoplasmose ocular não há diferença entre elas.
