Agende sua consulta! WhatsApp

Serosa Central

O que é serosa central?

A serosa central é uma alteração no centro da mácula causada pelo vazamento de líquido abaixo da retina, causando descolamento da retina localizado nesta região. Não está totalmente esclarecido o motivo deste vazamento, mas sabe-se que está ligado a estresse psicológico e uso de medicações como corticoide. Acomete mais homens entre 30 e 50 anos e tem caráter recidivante.

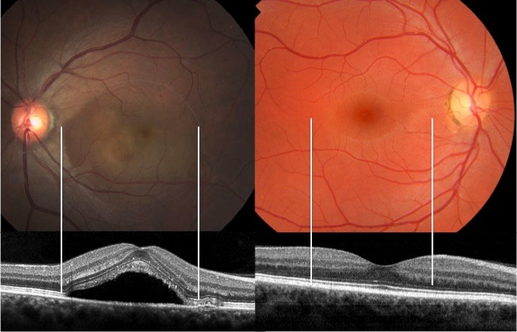
À esquerda observa-se o limite do descolamento da retina na região macular com a imagem da tomografia da retina, e à direita uma retina normal.

Quais são os sintomas da serosa central?

Os sintomas são distorção da visão central. É comum a observação de linhas tortas onde na verdade são retas.

Como diagnosticar a serosa central?

O diagnóstico é feito através do mapeamento da retina (fundo de olho), da tomografia da retina (OCT) e, em alguns casos, da angiografia da retina com contraste venoso.

Como prevenir serosa central?

Importante tentar controlar ou diminuir o estresse psicológico, além de interromper o uso de corticoides se possível.

Como tratar serosa central?

Normalmente não é necessário o tratamento da serosa central, que tende a melhorar sozinha em até 3 meses. Em alguns casos com muito desconforto visual, persistentes ou recidivantes, existe a opção de fazer um tratamento com laser especial que chamamos de micropulso, que estimula a absorção do líquido sob a retina sem causa lesão direta ao tecido.