
O que é a endoftalmite?
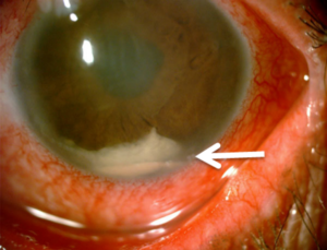
Endoftalmite Infecciosa Bacteriana Quais são os sintomas de endoftalmite? Como é feito o diagnóstico de endoftalmite infecciosa? Qual o tratamento da endoftalmite infecciosa? O

Endoftalmite Infecciosa Bacteriana Quais são os sintomas de endoftalmite? Como é feito o diagnóstico de endoftalmite infecciosa? Qual o tratamento da endoftalmite infecciosa? O

A toxoplasmose é uma infecção causada pelo Toxoplasma gondii, um parasita que vive no intestino de gatos e pode contaminar água, frutas e vegetais, além

Hoje o tema é UVEÍTE! O que é a uveíte? Uveíte é o nome da inflamação da úvea. Mas o que é úvea? Úvea é
Publicado em Julia MachadoTrustindex verifica se a fonte original da avaliação é Google. Fui rapidamente atendida pelo médico Tiago em uma urgencia oftalmologica, recomendo!Publicado em Jorge BouhidTrustindex verifica se a fonte original da avaliação é Google. Me consultei com o Dr. Victor Roisman pela primeira vez em 19/ago/2024. Já havia lido as boas avaliações mas minha experiência superou largamente a expectativa. Encontrei um profissional competente e interessado, preocupado em entender a fundo meu problema de visão (que não é simples) e discutir os caminhos para tratamento. Ao ver que faltava um exame importante entre aqueles que eu havia trazido (uma tomografia), abriu um tempinho em sua agenda e fez ele mesmo o exame faltante. Claramente alguém que gosta do que faz e se preocupa com seus pacientes.Publicado em Daiana BorgesTrustindex verifica se a fonte original da avaliação é Google. Depois de muitos anos sem passar no oftalmologista fui à clínica Roisman e a experiência não poderia ter sido melhor. Desde a recepção cordial, ambiente limpo e bem localizado, até o atendimento, propriamente dito, com o Dr Luiz foram extremamente exemplares. Uma consulta completa com aferição de pressão intraocular, retina, até a questão das lentes e mais outros procedimentos. Minha experiência foi extremamente positiva e recomendo a todos que buscam um atendimento sério e assertivo pros seus problemas. Recomendo de olhos fechados e tenho certeza que os demais médicos da clínica são igualmente excelentes. Desejo sucesso no negócio de vocês!Publicado em Pedro Hilário Corrêa e CastroTrustindex verifica se a fonte original da avaliação é Google. Referência em oftalmologia com especialidade em córnea, com exames como topografia na 1° consulta. Bem localizado (do lado da estação de metrô). Atendimento muito cordial que vai desde a recepcionista Sra Ana ao dr Victor, o irmão dele dr Bruno (especializado em retina) também. Ambos estão sempre em congressos nacionais e internacionais buscando as novidades na área de Oftalmologia para atender melhor seus pacientes. Não troco por nenhum outro profissional na área e me desloco de Angra dos Reis para Ipanema com muito rrazer!