- O que é serosa central?
- Eu e a Serosa Central
- O que causa Serosa Central?
- Quem tem ou que tipo de pessoa é afetada pela serosa central?
- A Serosa Central é rara ou comum?
- Como enxerga quem tem Serosa?
- Quanto tempo demora para melhorar? Serosa pode piorar? Ou ainda, Serosa Central pode deixar cego?!
- Como é o diagnóstico da Serosa Central?
O que é serosa central?
A Corioretinopatia Serosa Central, chamada de Serosa Central, ou simplesmente Serosa, é uma doença que causa acúmulo de líquido debaixo da mácula – parte central da retina e responsável pelo foco da visão – levando ao descolamento da retina nesta região. Este acúmulo ocorre por extravasamento de fluido da coroide, tecido que fica atrás da retina, para o espaço subretiniano.
Eu e a Serosa Central
Eu tenho uma história particular com a Serosa. Não, não tenho a doença como devem estar pensando. Mas estudo esta condição desde 2007, no início da minha residência médica. Tenho artigos científicos publicados em alguns dos mais importantes jornais médicos internacionais neste assunto, o que culminou com a minha tese de Doutorado exatamente no estudo da Corioretinopatia Serosa Central.
Por causa desta paixão pelo estudo da doença, constantemente sou convidado a palestrar neste tema em simpósios e congressos. Quase metade dos estudos em Serosa Central já publicados na literatura médica aconteceram nos últimos 5 anos, o que mostra o quanto a matéria é quente no momento e o quanto ainda temos a aprender sobre ela!
O que causa Serosa Central?
Existem várias teorias para o aparecimento desta doença, nenhuma comprovada. Quatro teorias da fisiopatologia da Serosa são mais importantes, duas clássicas e duas mais modernas:
Clássicas:
- Enfraquecimento de uma camada de células que divide a coroide da retina, o epitélio pigmentado da retina. Este enfraquecimento permitiria a passagem de fluido da coroide para debaixo da retina, ou espaço subretiniano.
- Congestão da coróide: neste caso haveria um aumento da pressão hidrostática ou aumento de volume de sangue na coróide. Então o epitélio pigmentado da retina não seria capaz de suportar este aumento da pressão e o fluido passaria para o espaço subretiniano.
Teorias Modernas
- Existem algumas doenças que causam aumento da espessura da coroide. Em 2013 um grupo de pesquisadores de Nova York uniu a Serosa a outras condições com este espessamento da coroide num conjunto de doenças chamado de espectro de paquicoroide. O termo “paqui” vem do grego e significa grosso ou espessado.A tentativa de unir distúrbios num grupo pode facilitar o entendimento do mecanismo patológico das doenças, bem como ajudar no desenvolvimento de tratamentos. No caso da serosa central existem especialistas que não concordam com algumas associações feitas pelos autores originalmente, que somadas à imprecisão de algumas definições e marcadores deste espectro, tornam a hipótese do espectro da paquicoroide ainda muito controverso.
- Mais recentemente, em 2021, o Prof Dr Richard Spaide formulou a hipótese que haveria uma anastomose, ou seja, uma conexão patológica entre os vasos da coroide na região macular, o que facilitaria o extravasamento do fluido para debaixo da retina. A teoria é interessante e precisa de tempo para ser testada.
Quem tem ou que tipo de pessoa é afetada pela serosa central?
Sabemos que a Serosa Central normalmente afeta indivíduos jovens, dos 30 aos 50 anos de idade, e numa proporção bem maior em homens que mulheres, chegando a 10x mais em homens em algumas fontes. Existem 2 fatores de risco principais:
- A ansiedade/estresse é o mais importante fator desencadeante da doença. Muitas vezes há um gatilho, como um assalto ou problema familiar, mas não necessariamente.
- Outro fator de risco importante é o uso de medicações com corticoide. Algumas pessoas têm que usar corticoide de forma crônica, por exemplo os transplantados e indivíduos em tratamento de doenças reumatológicas.Mas outras vezes o uso de corticoide passa mais despercebido, como seu uso nasal para tratamento de rinite, ou ainda a injeção de corticoide para tratamento de dor lombar/muscular. É importante a pesquisa do uso desta medicação com cuidado.
Fatores de risco menos importantes, mas também relevantes são a hipertensão arterial, distúrbios do sono e gastrite com infecção pela bactéria Helicobacter Pylori, ou H. Pylori.
A Serosa Central é rara ou comum?
A serosa central é a 4a doença não cirúrgica mais comum da retina, perdendo apenas para a degeneração macular relacionada a idade, retinopatia diabética e tromboses venosas da retina.
A incidência da doença é em torno de 10 a cada 100000 pessoas. É muito mais comum em homens, afetando 5 a 10 vezes mais homens que mulheres, normalmente entre 30 e 50 anos de idade.
Como enxerga quem tem Serosa?
Inicialmente a Serosa Central não baixa a visão, mas apenas tira a nitidez e a qualidade da visão. Por isso, pode tranquilamente passar despercebida por pessoas menos perceptivas ou com menor exigência visual.
Esta perda de qualidade normalmente é referida como distorção da imagem, que chamamos de metamorfopsia, ou ainda alteração do tamanho das imagens, que chamamos de micropsia. A Serosa Central não dói, não deixa o olho vermelho, nem causa qualquer outro sinal externo ou sintoma que não a piora de visão.
Quanto tempo demora para melhorar? Serosa pode piorar? Ou ainda, Serosa Central pode deixar cego?!
A Serosa Central normalmente tem comportamento benigno com melhora espontânea em algumas semanas, ou seja, melhora sem deixar nenhuma sequela.
Porém, alguns casos podem durar mais de 3 meses, que chamamos de serosa central crônica, ou ainda recorrer diversas vezes. Em torno de 30 a 50% dos pacientes sofrem recorrência da doença.
Quanto maior o tempo de doença e o número de recorrências maior o risco de levar a dano permanente à visão. Esta sequela pode ser bem leve, como uma distorção visual residual ou piora na visão das cores, ou ainda, em casos raros e graves, levar sim à cegueira.
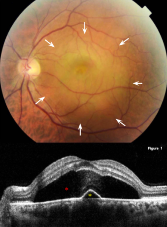
Como é o diagnóstico da Serosa Central?
O diagnóstico da Serosa Central normalmente não é muito complexo. O quadro clínico, a idade do paciente e o exame de fundo de olho já são suficientes. Porém o exame de tomografia de coerência óptica, OCT, é fundamental para corroborar o diagnóstico, ajudar no diagnóstico diferencial com outras doenças semelhantes, bem como no acompanhamento do caso. Tipicamente mostra a presença de fluido/líquido difuso debaixo da retina e debaixo do epitélio da pigmentado da retina de forma focal (Figura 1). É o único exame imprescindível hoje em dia.

Alguns especialistas costumam solicitar um exame chamado autofluorescência de fundo. Este é um exame que ajuda a quantificar o nível de lesão do epitélio pigmentar da retina. Quanto mais alteração, maior a chance de a doença ser crônica ou recorrente, e maior o risco de sequela visual.
O exame de angiografia fluoresceínica era bastante utilizado como ferramenta diagnóstica, mas depois do advento da tomografia e da autofluorescência não costuma ser necessário, somente em casos onde a fotocoagulação é uma opção de tratamento, como veremos mais à frente.
Este é um exame demorado e com contraste venoso, o que traz o risco de alergia. As apresentações típicas são vazamento único, vazamento múltiplo e alteração difusa do epitélio pigmentado da retina (Figura 2).

A angiografia com indocianina verde (outro contraste diferente da fluoresceína) também pode ser solicitada principalmente quando há dúvida diagnóstica com uma doença chamada vasculopatia polipoidal, em especial em pacientes mais idosos ou com características clínicas pouco comuns para Serosa. A indocianina também é importante na programação do tratamento com a terapia fotodinâmica, como veremos mais à frente.
Recentemente, surgiu uma nova modalidade diagnóstica, a angiografia através da tomografia de coerência óptica. Este exame tem sua maior indicação nos casos com suspeita de formação de membrana neovascular subretiniana, uma complicação da Serosa Central crônica ou recorrente.
Neste caso, detecta-se com precisão um enovelado de vasos debaixo da retina. A presença desta membrana é importante pois muda o tratamento da doença. Apesar de também ser uma angiografia, neste exame não se usa nenhum contraste venoso, sendo totalmente seguro (Figura 3).

E sobre os tratamentos?
Preparamos outro texto explicando como é o tratamento para Serosa Central. Fique de olho para saber mais!
